Peri-implantitis is an inflammatory condition affecting the soft and hard tissues surrounding a dental implant. It is similar to gum disease but specifically targets the area around an implant. The condition begins with mucositis, an inflammation of the soft tissues, which if left untreated, can progress to peri-implantitis, leading to bone loss. Bone loss is particularly concerning as it undermines the stability of the implant, potentially leading to its failure.
This condition is often insidious, progressing silently until significant damage has occurred. Unlike natural teeth, dental implants lack the periodontal ligaments, making them less sensitive to early signs of distress. Therefore, regular monitoring by dental professionals is crucial. Early diagnosis can prevent the progression of peri-implantitis, saving the implant and maintaining oral health. Understanding the risk factors, such as poor oral hygiene, smoking, and pre-existing periodontal disease, can also help in taking preventive measures early on.
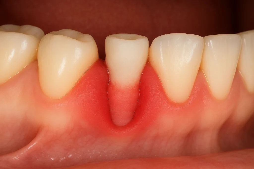
Warning Signs of Peri-Implantitis
Recognizing the symptoms early is crucial for preventing further complications. Here are some common signs of peri-implantitis:
- Redness and Swelling: Inflammation around the implant site can cause noticeable redness and swelling. These symptoms indicate the body’s response to infection or irritation and should be taken seriously. If redness and swelling persist, it is essential to consult a dental professional for a thorough evaluation.
- Bleeding Gums: If you notice bleeding while brushing or flossing near the implant, it could be a sign of infection. Bleeding gums are often an early indicator of peri-implant disease, signaling that the tissues around the implant are compromised. It is important to address this symptom promptly to prevent further deterioration.
- Discomfort or Pain: Persistent pain or tenderness around the implant should not be ignored. While some discomfort can be expected shortly after implant placement, ongoing pain is a red flag. Pain can be a sign of inflammation or infection, and early intervention can prevent more severe complications.
- Pus Formation: The presence of pus is a clear indicator of infection and requires immediate attention. Pus around an implant suggests a bacterial infection that, if left untreated, can lead to significant tissue damage and implant failure.
- Loose Implant: Mobility in an implant that was once stable is a serious concern and may indicate bone loss. A loose implant can compromise not just the implant itself but also the surrounding bone structure. Immediate dental consultation is necessary to address this issue.
Prevention of Peri-Implantitis
Preventing peri-implantitis involves a combination of good oral hygiene, regular dental visits, and lifestyle choices. Prevention is always better than cure, and with the right habits, the risk of developing peri-implantitis can be significantly reduced. Here’s how you can protect your dental implants:
Maintain Excellent Oral Hygiene
Good oral hygiene is the first line of defense against peri-implantitis. This includes brushing twice a day with a soft-bristle toothbrush and fluoride toothpaste, flossing daily, and using an antimicrobial mouthwash to reduce bacteria around the implant. It’s crucial to clean all surfaces of the teeth and implants thoroughly to prevent plaque buildup. Regularly changing your toothbrush and ensuring proper brushing techniques can enhance oral hygiene efforts.
Regular Dental Check-Ups
An essential aspect of implant maintenance is adhering to a consistent follow-up schedule. Regular dental check-ups allow your dentist to monitor the health of your implants and catch any early signs of peri-implantitis. Typically, visits every six months are recommended, but your dentist might suggest more frequent visits based on your individual needs. During these visits, professional cleaning and assessments can identify potential issues before they become significant problems.
Avoid Smoking
Smoking is a significant risk factor for peri-implantitis and implant failure. The chemicals in tobacco can impair healing and reduce blood flow to the gums, making it harder for your body to fight off infections. Quitting smoking can dramatically improve oral health and the success rate of dental implants. If you’re unable to quit entirely, reducing the amount smoked can still have beneficial effects on your overall oral health.
Healthy Lifestyle Choices
A balanced diet rich in vitamins and minerals supports oral health. Nutrients such as Vitamin C and calcium are particularly beneficial for gum health and bone strength. Limiting sugary foods and drinks can also reduce the risk of infection, as sugar promotes the growth of harmful bacteria. Additionally, staying hydrated helps maintain saliva flow, which naturally cleanses the mouth and neutralizes acids produced by bacteria.
Treatment for Peri-Implantitis
If you suspect peri-implantitis, it’s vital to seek treatment promptly. The success of treatment often depends on how early the condition is caught. Treatment varies depending on the severity of the condition:
Non-Surgical Treatment
In the early stages, peri-implantitis can often be managed with non-surgical methods. This includes professional cleaning to remove plaque and tartar, along with the use of antimicrobial agents to reduce infection. Scaling and root planing are common procedures that can effectively clean the implant surfaces and surrounding tissues. Regular monitoring and maintenance are crucial to ensure that the condition does not progress.
Surgical Treatment
For more advanced cases, surgical intervention may be necessary. This could involve flap surgery to clean the area around the implant, bone grafting to regenerate lost bone, or even replacing the implant in severe cases. Surgical treatments aim to restore the health of the tissues and stabilize the implant. Post-surgical care and follow-up are essential to ensure successful healing and prevent recurrence.
Laser Therapy
Some dentists use laser therapy as a minimally invasive option for treating peri-implantitis. Lasers can effectively remove infected tissue and bacteria, promoting healing in the affected area. This method reduces the need for traditional surgical tools, minimizing discomfort and recovery time for patients. Laser therapy can be an excellent option for those seeking a less invasive treatment route.
Antibiotics
Antibiotics may be prescribed to control bacterial infections. However, they are usually used in conjunction with other treatments rather than as a standalone solution. Antibiotics can help reduce inflammation and infection, making other treatments more effective. It’s important to follow the prescribed regimen to prevent antibiotic resistance and ensure optimal results.

Implant Maintenance After Placement
Once your implants are in place, maintaining them is key to their longevity. Proper maintenance ensures that the implants remain functional and aesthetically pleasing for years to come. Here are some tips for effective implant maintenance:
Use the Right Tools
Consider using interdental brushes and water flossers to clean hard-to-reach areas around your implants. These tools can be more effective than traditional floss in maintaining implant health. Interdental brushes come in various sizes and can be selected based on the space around your implants. Water flossers provide a gentle yet effective cleaning method that can remove debris without damaging delicate tissues.
Be Gentle
Avoid using abrasive toothpaste or hard-bristle brushes that can damage the gum tissue and implant surface. Gentle brushing and flossing are recommended to prevent irritation. Harsh cleaning methods can lead to gum recession and damage to the implant’s surface, compromising its stability and appearance. Opt for products specifically designed for sensitive gums and implants for the best results.
Monitor Changes
Stay vigilant about any changes in the implant area. Early detection of issues can make treatment more effective and prevent further complications. Keep an eye out for symptoms such as swelling, redness, or discomfort, and report them to your dentist promptly. Regular self-examinations and being attentive to your oral health can go a long way in maintaining implant integrity.
Conclusion
Peri-implantitis is a serious condition that can compromise the success of your dental implants. By recognizing the warning signs, practicing good oral hygiene, and adhering to a regular dental follow-up schedule, you can prevent peri-implantitis and ensure the longevity of your implants. Remember, your dentist is your partner in maintaining oral health, so don’t hesitate to reach out if you have concerns about your implants.
With the right care and attention, dental implants can provide a lifetime of healthy, confident smiles. Prioritize prevention and regular check-ups to protect your investment in oral health. Through proactive measures and collaboration with your dental care team, you can enjoy the benefits of dental implants for many years to come.